Measuring the Lateral Trochlear Inclination Angle

Surgeons need practical, efficient diagnostic skills, not an overwhelming list of measurements, such as measuring the trochlear inclination angle.
FDA Trial for New Patella LIFT Procedure

ZKR Orthopedics’ Patella LIFT procedure is a minimally invasive method to unload the patella, relieve pain without the complications associated with other treatments
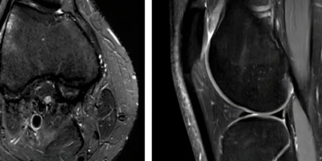
Treating Patellar Chondral Lesions with Concomitant MACI, MPFL, and TTO

The study discusses the use of MACI in the patella to treat patellar chondral lesions with concomitant patellar stabilization and realignment procedures.
Case Report: Arthroscopy + Revision TTO for a 16-Year-Old Female Lacrosse Player

Grand Rounds from HSS Case Report on a 16-Year-Old female lacrosse player with failed tibial tubercle osteotomy (TTO) treated with arthroscopy and revision TTO.
Grand Rounds from HSS: Revision TTO Returns Young Athlete to Sports

In HSS’s Grand Rounds, I shared the case of an adolescent athlete who needed a revision TTO a year after having a tibial tubercle osteotomy and MPFL reconstruction.
MPFL Reconstruction and TTO Questions

I’ve had quite a few questions lately on my videos about medial patellofemoral ligament (MPFL) reconstruction and tibial tubercle osteotomy surgery. What often happens is people have had one surgery or the other (or both) and they’re looking for information about what to expect after surgery, when they will regain range of motion, and a […]
Knee Chondromalacia Symptoms & Treatment

You may be suffering from a condition called knee chondromalacia or chondromalacia patella if you’ve been experiencing dull, achy pain around or under your kneecap. In the past, any pain over the kneecap or patella (the anterior aspect of the knee) was often referred to as patellofemoral chondromalacia, but it actually describes a specific condition. […]
Peyton’s Tibial Tubercle Osteotomy

Learn about Peyton, who was able to return to dance pain-free after Tibial Tubercle Osteotomy surgery.